検査機器
検査機器

血液検査装置
血算(赤血球・白血球・血小板の数など)、CRP(炎症の程度)が迅速(約5分)に測定できます。

電子スコープ
細径のカメラで耳・鼻・のどの中などをモニター上で観察します。中耳炎の状態なども一目瞭然です。

聴覚検査装置
内外2枚の防音扉を装備(院内風景/聴力検査室)、大学病院レベルの優れた遮音環境で言語聴覚士による正確な診断を行います。

デジタルレントゲン装置
撮影したその場ですぐに画像をご覧になれます。
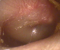
電子スコープで患部を見てみると・・・

急性化膿性中耳炎
風邪や上気道の炎症が起こると鼻やのどにいる細菌やウイルスが、せきやくしゃみなどにより耳管をさかのぼって中耳に入って炎症を起こします。写真は中耳に膿が溜まったひどい場合です。

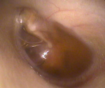
滲出性中耳炎
鼓膜の裏側(中耳)に滲出液が溜まる炎症です。滲出液からは細菌やウイルスが検出されない場合もあります。

アデノイド
アデノイドというのは、上咽頭(鼻腔の奥)にある咽頭扁桃という組織の腺様増殖症です。反復する滲出性中耳炎や副鼻腔炎、ひどい鼻づまり、いびきの原因になる場合などに手術で切除します。

慢性副鼻腔炎・鼻茸
副鼻腔炎(いわゆる蓄のう症)が慢性化した状態で、粘膜が腫脹してポリープ(鼻茸)を形成したりします。黄色や黄緑色の膿性鼻汁がたくさん出る、鼻がつまる、においがわからない、などが症状です。

声帯ポリープ
声帯ポリープはのど仏の裏側、喉頭にある声帯の粘膜が腫脹または突出したもので、声がれが症状です。

仮性クループ
喉頭の声門下(声帯の下方)が炎症により腫脹して狭くなっています。呼吸困難の原因になったりします。
